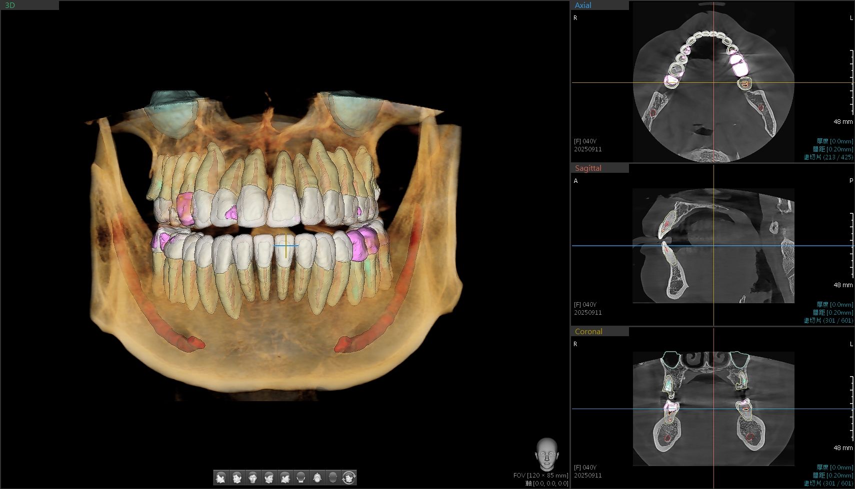
你能想像未來有一天我們只需要拍攝一張影像,就能夠一目了然的清楚看到自己牙齒的所有構造,包括牙齒內的細小神經以及骨頭內的神經管走向和已經存在的病灶嗎?
感謝黃仁勳以及AI人工智慧的快速發展,我們診所做到了,診所引進最新一代AI智慧3D立體牙齒影像診斷系統。不到一分鐘的時間,就能快速顯現病患所有牙齒的立體影像以及細微的神經管,讓牙齒所有問題一覽無遺,也讓醫師無論在診斷或是任何牙齒的治療上,都能夠更精準掌握,提高所有治療的成功率。
關心牙齒健康的您們,不要猶豫,趕快預約微美牙醫診所看診,讓我們專業的醫療團隊及高科技的牙科影像,幫您們的牙齒成功把關喔!
📌 升級亮點一次看:
▪️ 全口攝影 + 電腦斷層已是基本配備,我們再領先升級!
▪️ AI 重新建構 軟組織輪廓、牙齒與神經走向,影像更立體、更清楚
▪️ 新增 小範圍高解析根管 CT,細小病灶不放過
▪️ 彩色影像可區分不同結構,牙齒病變一目了然
▪️ 醫師能做出更精準判斷,提供 更完善、客製化的治療計畫 ✔️
我們會持續導入更好的設備,給你更安全、更全面的口腔照護🦷✨
🦷微美牙醫診所關心您的口腔健康
📆貼心建議看診後直接預約半年後回診日期,我們會電話及簡訊提醒您定檢唷~
【診療項目】
■ 人工植牙 ■ 微創植牙 ■ 齒顎矯正 ■ 隱形矯正
■ 舒眠治療 ■ 根管治療 ■ 假牙製作 ■ 假牙贗復
■ 牙齒美學 ■ 美白貼片 ■ 全口重建 ■ 口腔外科
【醫療團隊】
■ 廖哲瑜 院長 ■ 戴志翰 醫師 ■ 蔣文政 醫師
■ 宋耀東 醫師 ■ 劉家語 醫師 ■ 陳鐘漢 醫師
■ 張光萱 醫師 ■ 陳瑋旻 醫師 ■ 陳姿璉 醫師
■ 翁文彬 醫師 ■ 劉欣宜 醫師 ■ 劉雅玫 醫師
■ 謝銘杰 醫師
👩🏻⚕️👨🏻⚕️優質的醫療團隊給您最安心的醫療服務
🌈中壢微美牙醫診所守護您的牙齒健康




