- 病患:30歲小姐
- 主訴:不滿意其他診所做完假牙後,微笑時牙齒歪斜,牙齦高低不對稱,假牙過白。
診斷:
- 前牙牙齦高度不對稱。
- 右上正中門牙缺牙。
- 牙齒過白,與下顎牙齒顏色不對。
治療計劃:
- 右上正中門牙缺牙區-人工植牙。
- 前牙牙齦高度不對稱進行-牙冠增長術。
- 左側側門牙牙齦萎縮、牙冠過長進行-牙肉增生手術。
![全瓷假牙 全瓷假牙]()
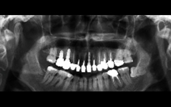
治療前,全口X光片。
![全瓷假牙 全瓷假牙]()
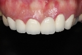
病患微笑時,假牙歪斜,牙齦不對稱。
![全瓷假牙 全瓷假牙]()
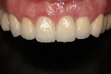
右側前牙進行牙冠增長術,調整牙齒比例。
![全瓷假牙 全瓷假牙]()
左側側門牙進行牙肉增生手術,解決牙齦萎縮問題。
![全瓷假牙 全瓷假牙]()
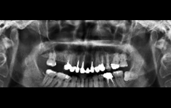
左側正中門牙缺牙,缺牙處植入人工牙根。
![全瓷假牙 全瓷假牙]()
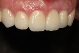
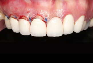
病患治療後,最終假牙完成照。
![全瓷假牙 全瓷假牙]()
病患恢復自信的笑容。
免責聲明: 本所療程皆由專業醫生評估後,依照個人口腔狀況進行治療。因每位患者個別狀況不同,術後狀況也不盡相同,需親來本所由醫生評估。