• 病患 : 30歲 女姓
  • 主訴 : 大量銀粉填補,牙齒變色感覺不美觀。

診斷

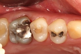
病人原右上及左下第一大臼齒,至其他診所根管治療後,僅使用大量銀粉填補,長期以來導致齒質顏色改變、美觀度欠佳。

治療計劃

移除銀粉,放置強化柱心及精密全瓷冠假牙。

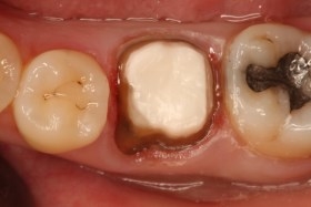
先前根管治療之後僅以銀粉填補
全瓷假牙

右上第一大臼齒

全瓷假牙

左下第一大臼齒

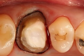
術中-先前根管治療之後僅以銀粉填補
全瓷假牙

右上第一大臼齒

全瓷假牙

左下第一大臼齒

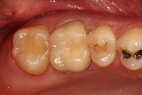
術後-完成全瓷假牙
全瓷假牙

右上第一大臼齒

全瓷假牙

左下第一大臼齒

免責聲明: 本所療程皆由專業醫生評估後,依照個人口腔狀況進行治療。因每位患者個別狀況不同,術後狀況也不盡相同,需親來本所由醫生評估。
關閉