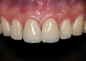
病患:陳先生主訴:左上側門牙牙齒顏色不明原因變黑診斷正中兩顆門牙不美觀,牙齦變黑治療計劃全陶瓷假牙置換治療前治療後免責聲明: 本所療程皆由專業醫生評估後,依照個人口腔狀況進行治療。因每位患者個別狀況不同,術後狀況也不盡相同,需親來本所由醫生評估。 分享到