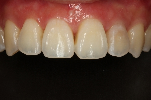
• 病患 :廖小姐,上班族
  • 主訴 : 左上側門牙牙齒顏色不明原因變黑

診斷

牙齒神經壞死造成牙齒顏色改變

​治療計劃

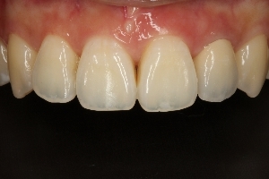
根管治療配合全陶瓷柱心與全陶瓷假牙

全瓷假牙

治療前

全瓷假牙

治療後

免責聲明: 本所療程皆由專業醫生評估後,依照個人口腔狀況進行治療。因每位患者個別狀況不同,術後狀況也不盡相同,需親來本所由醫生評估。
關閉