• 病患:林小姐
  • 主訴:右邊側門牙,正中門牙假牙牙齦犯黑,左邊正中門牙蛀牙

診斷

舊式假牙邊緣不整齊

​治療計劃

前牙全瓷冠製作

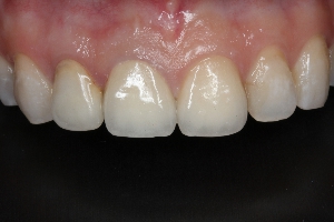
全瓷假牙

治療前

全瓷假牙

治療後

免責聲明: 本所療程皆由專業醫生評估後,依照個人口腔狀況進行治療。因每位患者個別狀況不同,術後狀況也不盡相同,需親來本所由醫生評估。
關閉