全瓷美齒貼片可改變牙齒的形狀及顏色,所以針對於牙齒因四環黴素染色、門牙蛀牙問題、門牙開縫、排列不整、門牙過短…等惱人的問題,想改善前牙美觀問題,卻又捨不得大量破壞牙齒的患者,全瓷貼片是一個不錯的選擇!
全瓷貼片

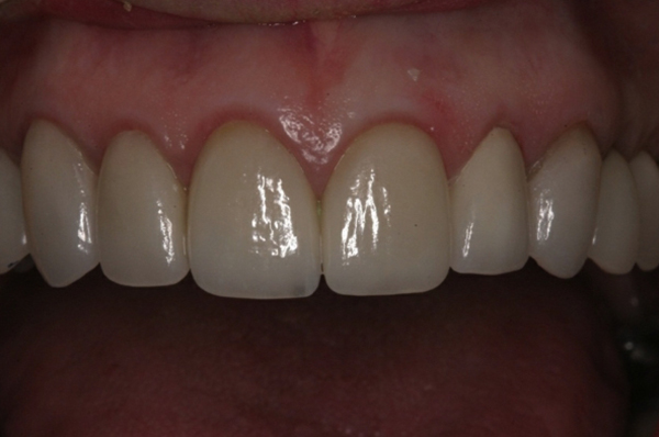
牙齒先天染色無法使用一般美白方式,並且牙齦過多 微笑會露出太多牙齦。

全瓷貼片

雷射微創修整牙齦高度

全瓷貼片

配合全瓷微陶瓷貼片

全瓷貼片

恢復潔白完美微笑曲線

 

免責聲明: 本所療程皆由專業醫生評估後,依照個人口腔狀況進行治療。因每位患者個別狀況不同,術後狀況也不盡相同,需親來本所由醫生評估。

關閉