• 病患:40歲 男性。
  • 主訴:先前的填補物邊緣蛀牙。

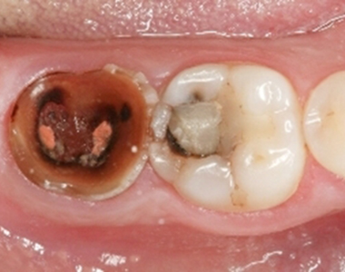
診斷:

大範圍的齲齒。

治療計劃:

  1. 移除先前的填補物
  2. 清除齲齒部位。
  3. 製作齒雕。
齒雕瓷塊

移除先前的填補物

齒雕瓷塊

清除齲齒部位。

齒雕瓷塊

製作齒雕。

 

免責聲明: 本所療程皆由專業醫生評估後,依照個人口腔狀況進行治療。因每位患者個別狀況不同,術後狀況也不盡相同,需親來本所由醫生評估。

關閉