病患:40歲 女性
主訴:牙齒斷掉

診斷 :

  1. 右上側門牙牙根斷裂及搖晃。
  2. 左上正中門牙牙根斷裂。

治療計劃:

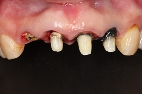
  1. 將前牙舊牙冠拆除。
  2. 拔除右上側門牙及左上正中門牙斷裂之牙根。
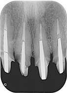
  3. 當天拔牙後,立即植入人工牙根。
立即植牙及3D立體斷層掃描
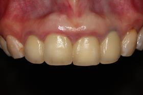
治療前,X光片及口內照片。
立即植牙及3D立體斷層掃描
立即植牙及3D立體斷層掃描
右上側門牙及左上正中門牙斷裂。
立即植牙及3D立體斷層掃描
舊牙冠拆除後,舊牙冠拆除後,術後X光片。
proimages/share/share001/1-1/201403101905431.jpg
立體斷層掃描。
立即植牙及3D立體斷層掃描
手術後,植體順利的植入預設的位置
立即植牙及3D立體斷層掃描
當天拔牙,且立即植牙。
proimages/share/share001/1-1/201403101903374.jpg
手術後,植體順利的植入預設的位置。
立即植牙及3D立體斷層掃描
治療後,X光片。          
proimages/share/share001/1-1/201403101510455.jpg
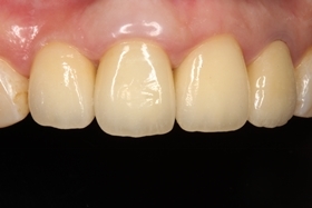
假牙完成後,植牙與自然牙,真假難辨;病患恢復自信的笑容。
免責聲明: 本所療程皆由專業醫生評估後,依照個人口腔狀況進行治療。因每位患者個別狀況不同,術後狀況也不盡相同,需親來本所由醫生評估。
關閉