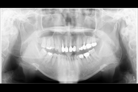
立即微創植牙

經X 光片發現牙齒底部病變 評估建議立即拔牙且立即植牙。

斷裂牙齒或是殘留牙根未有發炎反應的情況下,可以於當天立即拔牙立即植牙,不須再二次手術,大幅縮減等待裝牙時間並且讓手術傷口達到最小化。
立即微創植牙

拔牙後傷口

立即微創植牙

拔牙當天立即植體植入,傷口縫合

立即微創植牙

8-12週後裝置假牙

立即微創植牙

全瓷冠假牙裝置完成

免責聲明: 本所療程皆由專業醫生評估後,依照個人口腔狀況進行治療。因每位患者個別狀況不同,術後狀況也不盡相同,需親來本所由醫生評估。
關閉