病患:40歲 女性。 主訴:牙齒斷掉。

診斷 :

  1. 右上側門牙牙根斷裂及搖晃。
  2. 左上正中門牙牙根斷裂。

治療計劃 :

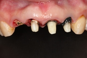
  1. 將前牙舊牙冠拆除。
  2. 拔除右上側門牙及左上正中門牙斷裂之牙根。
  3. 當天拔牙後,立即植入人工牙根。
立即微創植牙

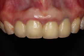
治療前,X光片及口內照片。

立即微創植牙
立即微創植牙

舊牙冠拆除後,右上側門牙及左上正中門牙斷裂。

立即微創植牙

舊牙冠拆除後,術後X光片。

立即微創植牙

病患植牙前,拍攝3D立體斷層掃描。

立即微創植牙

當日立即模擬出最適宜的植牙位置。

立即微創植牙

病患植牙前,拍攝3D立體斷層掃描。

立即微創植牙

當天拔牙,且立即植牙。      

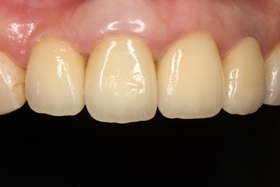
假牙完成後,植牙與自然牙,真假難辨;病患恢復自信的笑容。

立即微創植牙

治療後,X光片。

立即微創植牙
免責聲明: 本所療程皆由專業醫生評估後,依照個人口腔狀況進行治療。因每位患者個別狀況不同,術後狀況也不盡相同,需親來本所由醫生評估。
關閉