- 病患:51歲 女性
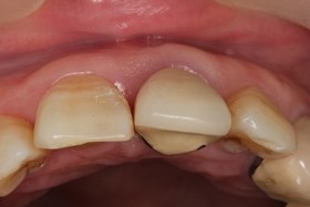
- 主訴 : 門牙假牙鬆動,且些微暴牙。
- 診斷 : 左上門牙舊牙套釘柱鬆脫,造成續發性齲齒及牙根鬆動。
- 治療計劃 : 拔除門牙同時立即植入人工牙根,同時利用舊牙套轉換成臨時性假牙,半年後再裝上永久全瓷冠。
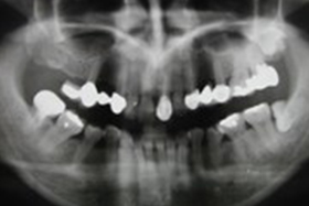
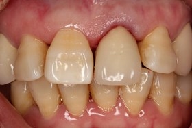
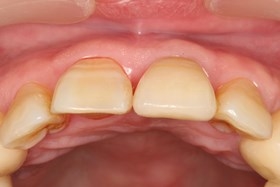
- 治療前全口X光片、口內正面照片。
治療前全口X光片、口內正面照片
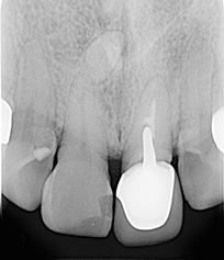
假牙拆除前的X光片,可看出假牙已不密合
假牙拆除前的X光片,可看出假牙已不密合
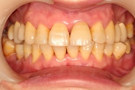
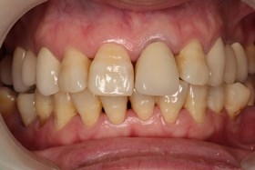
半年後假牙完成全口X光片、口內正面照片。
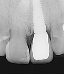
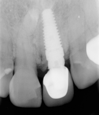
假牙完成X光片。
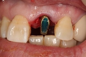
因美觀問題,採取拔牙後立即植牙。(此種治療方式須經醫師評估)
植牙後,立即利用舊牙套轉換成臨時性假牙。
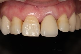
假牙完成後,門牙特寫、切端特寫照,暴牙已不復見


