• 病患:五十歲男性。
  • 主訴:一般診所建議做活動假牙,尋找植牙診所。

診斷:

  1. 病患全口嚴重牙周病,進行植牙及全口重建。

治療計劃:

  1. 全口牙周病治療。
  2. 全口植牙重建。
  3. 補骨與鼻竇增高手術。
全口植牙重建

治療前X光片,多處缺牙及嚴重牙周破壞。

全口植牙重建

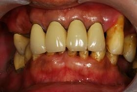
治療前,口內照片。

全口植牙重建

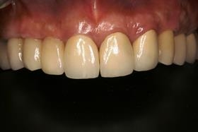
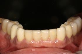
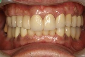
經過一年多牙周病治療與人工植牙重建病患恢復了完整的牙齒。

全口植牙重建

治療前VS.治療後

全口植牙重建

治療前

全口植牙重建

治療後

病患恢復自信笑容。

全口植牙重建

 

免責聲明: 本所療程皆由專業醫生評估後,依照個人口腔狀況進行治療。因每位患者個別狀況不同,術後狀況也不盡相同,需親來本所由醫生評估。

關閉