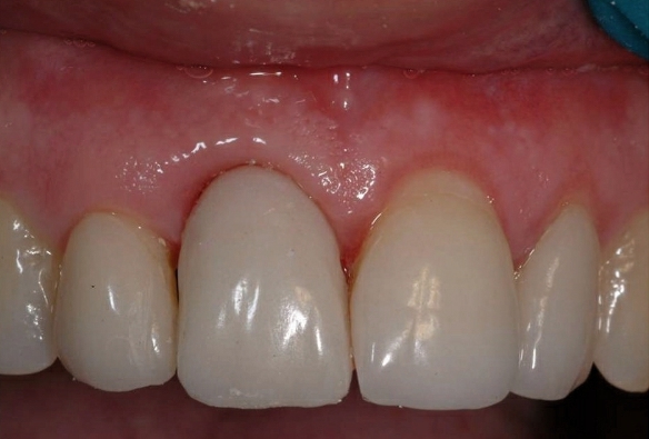
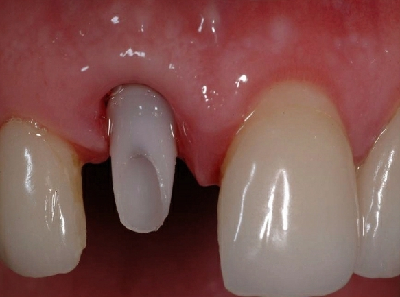
前牙區的缺牙處或是牙根斷裂處,經過專業植牙醫師評估後
病患可於當天植牙手術後立即裝上假牙,讓前牙美觀區可以恢復正常齒列

前牙植牙美學

拔牙當天立即植牙

前牙植牙美學
前牙植牙美學
前牙植牙美學

拔牙當天立即擁有牙齒

 

免責聲明: 本所療程皆由專業醫生評估後,依照個人口腔狀況進行治療。因每位患者個別狀況不同,術後狀況也不盡相同,需親來本所由醫生評估。

關閉