- 病患:王先生,30多歲,公司主管
- 主訴:前牙因撞到導致牙根斷裂
診斷:
- 牙根斷裂以及牙齒排列不整合併輕微牙周病
治療計劃:
- 缺牙區人工植牙(合併牙齦骨頭重建手術) 以及全口矯正
![前牙植牙 前牙植牙]()
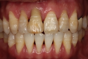
右側正中門牙搖晃以及齒列不整
![前牙植牙 前牙植牙]()
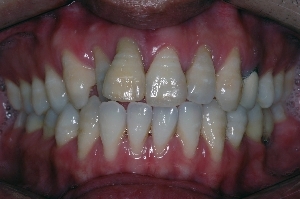
全口矯正排列
![前牙植牙 前牙植牙]()
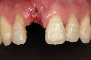
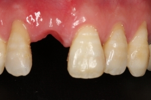
牙齒拔除後牙齦萎縮不足
![前牙植牙 前牙植牙]()
牙齦重建手術
![前牙植牙 前牙植牙]()
恢復牙齦美觀
![前牙植牙 前牙植牙]()
植入人工植牙合併骨頭重建手術
![前牙植牙 前牙植牙]()
最終植牙假牙置入(配合專業技師製作出似真牙的全陶瓷假牙)
![前牙植牙 前牙植牙]()
病患恢復完美牙齒與笑容
免責聲明: 本所療程皆由專業醫生評估後,依照個人口腔狀況進行治療。因每位患者個別狀況不同,術後狀況也不盡相同,需親來本所由醫生評估。