於植牙處拍攝3D電腦斷層攝影後,在專業植牙醫師判斷下需要補充骨粉,增加植體周圍骨頭的厚度與高度,達到完整的植牙手術並且增加植體的使用壽命

補骨植牙

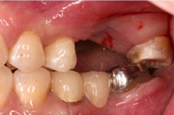
上排大臼齒牙床萎縮

補骨植牙

植牙合併補骨技術

補骨植牙

當天植牙後傷口縫合

補骨植牙

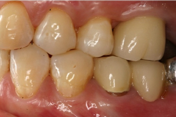
最後假牙完成 牙床恢復健康

 

免責聲明: 本所療程皆由專業醫生評估後,依照個人口腔狀況進行治療。因每位患者個別狀況不同,術後狀況也不盡相同,需親來本所由醫生評估。

關閉