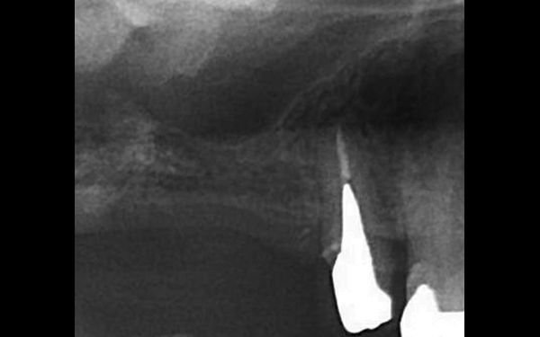
對於上排牙齒植牙處拍攝3D電腦斷層攝影,發現缺牙區的骨頭因為缺牙時間過長導致上頷竇空腔往下降,導致植牙位置的骨頭高度不足,這時就需要植牙專科醫師透過顯微微創鼻竇增高技術(水壓式鼻竇增高術、超音波骨刀鼻竇增高術),在缺牙區鼻竇內,放置骨粉增加植牙區域高度來達到完整地放置植體,讓植體與新填充骨粉可以完整的結合。
上頷竇微創增高手術
上頷竇微創增高手術
上頷竇微創增高手術
上頷竇微創增高手術

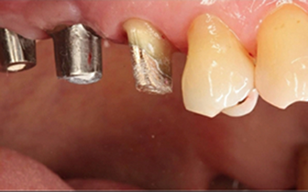
上排缺牙區 

上頷竇微創增高手術

X光顯示垂直骨頭高度不足

上頷竇微創增高手術

植牙合併無敲擊水壓式上頷竇增高術

上頷竇微創增高手術

X光片顯示骨頭成功增高

上頷竇微創增高手術

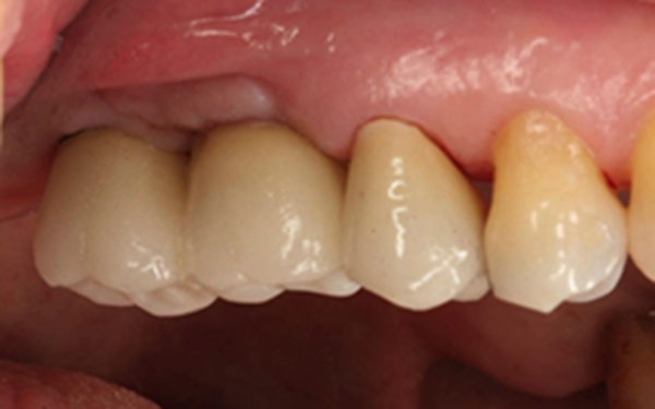
最後裝置假牙

上頷竇微創增高手術

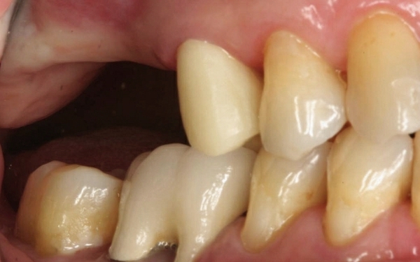
完成照片

上頷竇微創增高手術

完成時X光片可看見新生骨頭

 

免責聲明: 本所療程皆由專業醫生評估後,依照個人口腔狀況進行治療。因每位患者個別狀況不同,術後狀況也不盡相同,需親來本所由醫生評估。

關閉