長期缺牙導致我們的耐磨角質化牙齦嚴重萎縮甚至於消失,需要由專業植牙醫師從我們自己的顎側取一小片牙齦經過顯微手術移植到缺牙牙齦處,等待時間約1-2 個月後讓牙齦成功再生角質化牙齦後,再做植牙手術,達到正確且完整的植牙療程增厚牙齦周圍組織 避免牙齦快速萎縮造成植體周圍炎與植體失敗。
![角質化牙齦增生手術 角質化牙齦增生手術]()
植牙區域牙齦萎縮,缺乏健康角質化牙齦
![角質化牙齦增生手術 角質化牙齦增生手術]()
移植角質化牙齦
![角質化牙齦增生手術 角質化牙齦增生手術]()
移植後牙齦成功生長再生
![角質化牙齦增生手術 角質化牙齦增生手術]()
順利植入植體
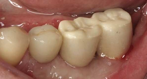
![角質化牙齦增生手術 角質化牙齦增生手術]()
完成植牙,周邊擁有健康角質化牙齦
免責聲明: 本所療程皆由專業醫生評估後,依照個人口腔狀況進行治療。因每位患者個別狀況不同,術後狀況也不盡相同,需親來本所由醫生評估。