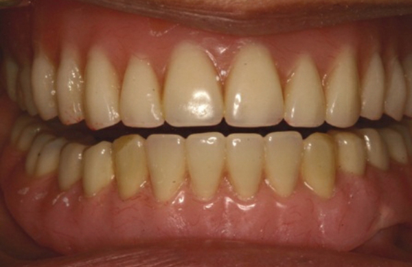
由於現在台灣的年齡層趨近老年化,加上重視生活品質的情況下,銀髮族的假牙選擇又多了一項,不會像之前活動假牙無法食用硬食或是容易搖晃導致牙肉長期受傷,現今只需在銀髮族活動假牙上加上2-4支人工植體,即可以提高活動假牙穩定性並增強咀嚼功能。
銀髮族植牙

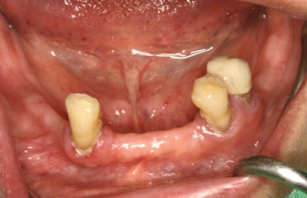
牙齒動牙須拔除

銀髮族植牙

配合扣環式人工植牙

銀髮族植牙

植牙與活動假牙結合,活動假牙可以穩定咀嚼不會脫落。

 

免責聲明: 本所療程皆由專業醫生評估後,依照個人口腔狀況進行治療。因每位患者個別狀況不同,術後狀況也不盡相同,需親來本所由醫生評估。

關閉