• 病患:55歲先生。
  • 主訴:多顆缺牙,想全口治療。

診斷:

  1. 多顆缺牙、牙周病、多顆蛀牙。

治療計劃:

  1. 經由多顆人工植牙及全瓷假牙的全口重建,牙周病治療讓病人恢復咬合的功能與美觀,也易於每日的清潔保養。

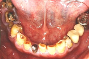
治療前-多顆缺牙及牙周病、蛀牙

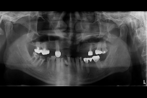
人工植牙與全口治療
人工植牙與全口治療
人工植牙與全口治療

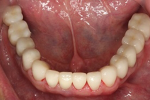
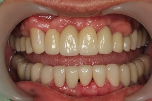
治療後

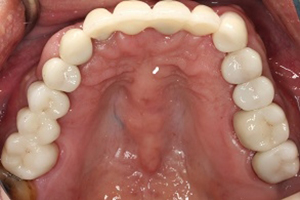
人工植牙與全口治療
人工植牙與全口治療
人工植牙與全口治療
人工植牙與全口治療

 

免責聲明: 本所療程皆由專業醫生評估後,依照個人口腔狀況進行治療。因每位患者個別狀況不同,術後狀況也不盡相同,需親來本所由醫生評估。

關閉