- 病患 : 中年婦女
- 主訴 : 在別家診所植牙,植牙失敗造成植牙外露和感染。
診斷 :
- 植體牙周炎。
治療計劃 :
- 移除感染植牙。
- 骨頭再生術+角化牙齦手術。
- 植入新植牙手術。
![]()
治療前,口內照片;植體外露及牙齦萎縮。
![]()
治療前X光片,骨頭嚴重吸收。
![]()
翻開牙肉,可看見植體週圍骨頭嚴重吸收。
![]()
移除感染之植體,解決吸收植體牙周發炎。
![]()
重新進行骨頭再生手術。
![]()
角質化牙齦,再生手術。
![]()
骨頭重新再生
![]()
植入新的植體。
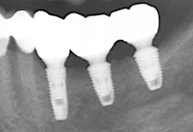
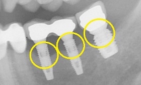
![]()
治療後,X光片。
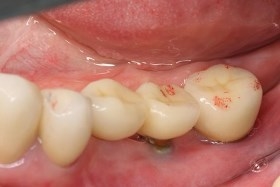
![]()
假牙完成,病患恢復健康的角質化牙齦。
免責聲明: 本所療程皆由專業醫生評估後,依照個人口腔狀況進行治療。因每位患者個別狀況不同,術後狀況也不盡相同,需親來本所由醫生評估。