現今台灣的牙科普及到一條路上有2-3家牙科都不為過,但是真正同時具有國內外植牙專科的植牙醫師卻少之又少,然而如果大家的牙科觀念還處在選擇便宜又大碗的停滯階段,往往就有很多所謂失敗不成功的植牙案例,透過專業的植牙醫師來處理一般醫師無法處理的失敗植牙案例,恢復您的自信找回您的笑容。
![]()
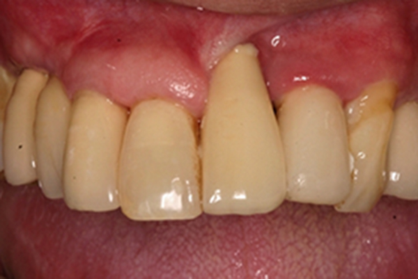
右上正中門牙植體感染牙齦萎縮
![]()
移除其他診所醫師種植的失敗植體
![]()
骨頭與牙齦重建後,順利植入新的植體
![]()
病患重新恢復健康的牙齒與牙齦 
 
免責聲明: 本所療程皆由專業醫生評估後,依照個人口腔狀況進行治療。因每位患者個別狀況不同,術後狀況也不盡相同,需親來本所由醫生評估。