病患:

張小妹妹

主訴:

戽斗,不美觀。

診斷:

戽斗,上下牙錯咬。

治療計劃:

上顎牙弓擴大,下顎拔兩顆牙把牙齒往內拉。

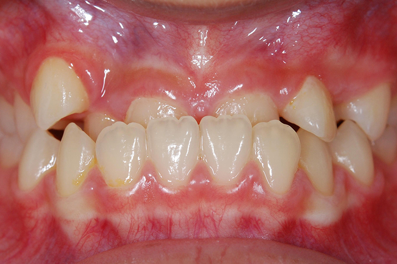
戽斗矯正

矯正前

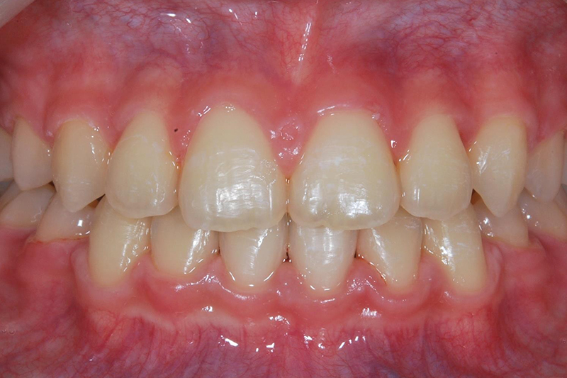
戽斗矯正

矯正後

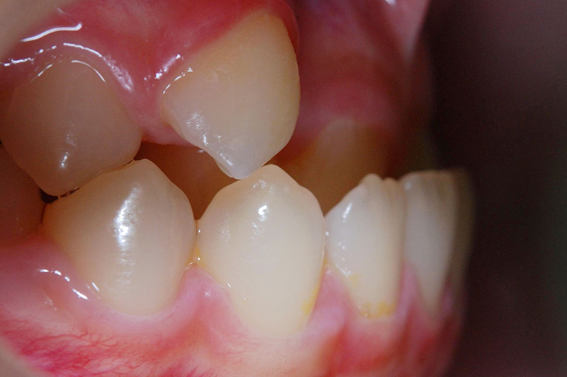
戽斗矯正

矯正前

戽斗矯正

矯正後

戽斗矯正

矯正前

戽斗矯正

矯正後

戽斗矯正

矯正前

戽斗矯正

矯正後

免責聲明: 本所療程皆由專業醫生評估後,依照個人口腔狀況進行治療。因每位患者個別狀況不同,術後狀況也不盡相同,需親來本所由醫生評估。
關閉