病患 :

黃小姐

主訴 :

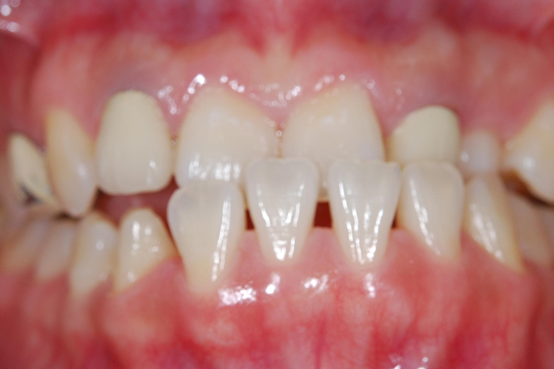
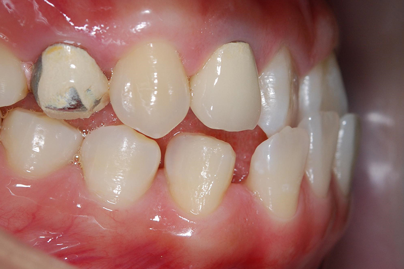
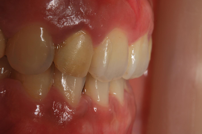
戽斗,牙齒排列不整齊。

診斷 :

上下牙錯咬,齒縫間空隙。

治療計劃 :

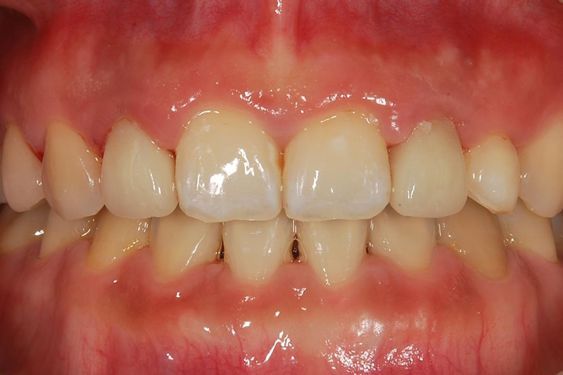
下顎拔2顆牙,上排牙弓擴大排整齊即矯正完成。

proimages/share/share005/5-1/20090803144331.jpg

矯正前

proimages/share/share005/5-1/20140502123639.jpg

矯正後

proimages/share/share005/5-1/20090803144239.jpg

矯正前

proimages/share/share005/5-1/20140502124326.jpg

矯正後

proimages/share/share005/5-1/20090803144245.jpg

矯正前

proimages/share/share005/5-1/20140502123628.jpg

矯正後

免責聲明: 本所療程皆由專業醫生評估後,依照個人口腔狀況進行治療。因每位患者個別狀況不同,術後狀況也不盡相同,需親來本所由醫生評估。
關閉