病患 :

蔡小姐

主訴 :

因為戽斗的關係說話時有些字發音不是很標準。

診斷 :

戽斗,上下咬錯咬。

治療計劃 :

不拔牙矯正,上下排牙齒往後拉排整齊。

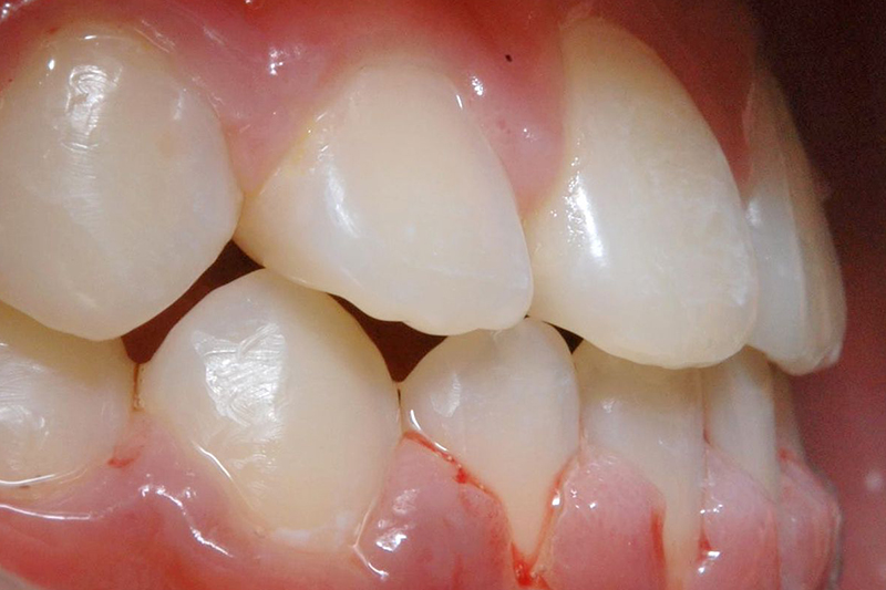
戽斗治療

矯正前

戽斗治療

矯正後

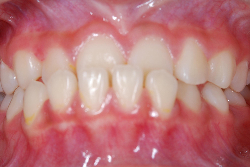
戽斗治療

矯正前

戽斗治療

矯正後

戽斗治療

矯正前

戽斗治療

矯正後

戽斗治療

矯正前

戽斗治療

矯正後

免責聲明: 本所療程皆由專業醫生評估後,依照個人口腔狀況進行治療。因每位患者個別狀況不同,術後狀況也不盡相同,需親來本所由醫生評估。
關閉