病患:

吳小妹妹

主訴

牙齒凸出。

診斷 :

暴牙合併深咬。

治療計劃 

上顎拔2顆牙,把牙齒往後排整齊。

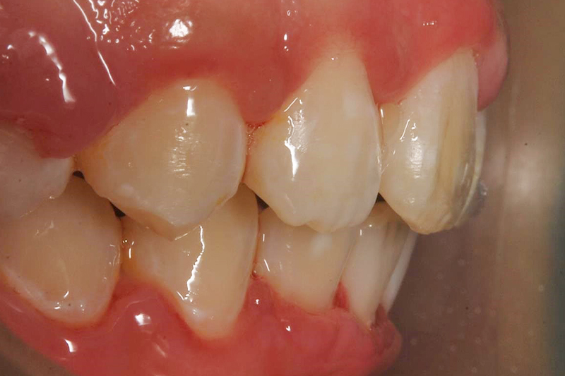
深咬

矯正前

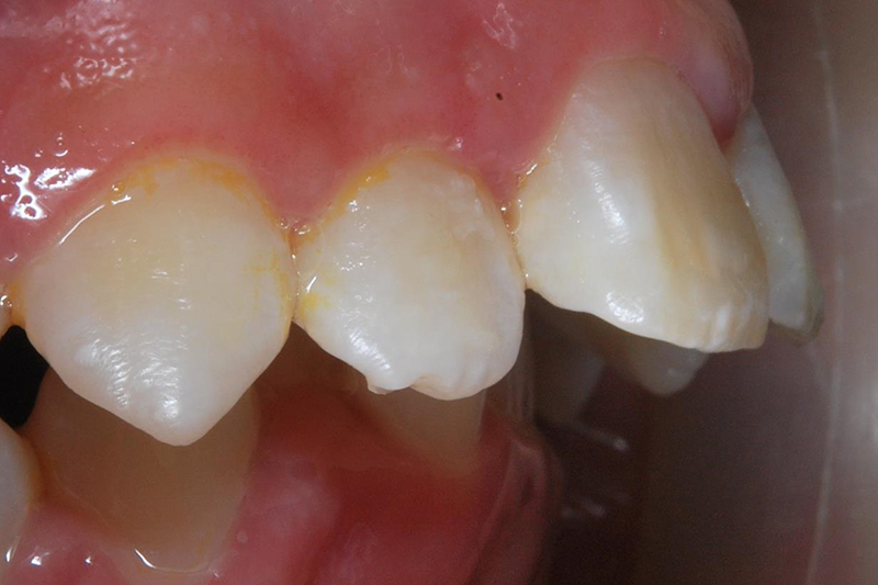
深咬

矯正後

深咬

矯正前

深咬

矯正後

深咬

矯正前

深咬

矯正後

免責聲明: 本所療程皆由專業醫生評估後,依照個人口腔狀況進行治療。因每位患者個別狀況不同,術後狀況也不盡相同,需親來本所由醫生評估。
關閉