病患:

賴先生

主訴

牙齒咬很深不好看。

診斷

深咬。

治療計劃

不需拔牙,牙齒扶正,打開咬合即矯正完成。

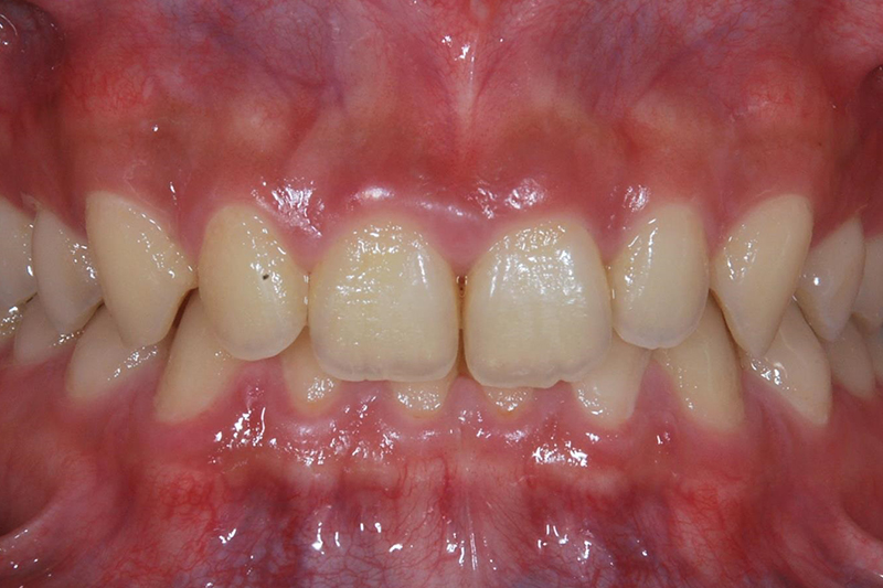
深咬矯正

矯正前

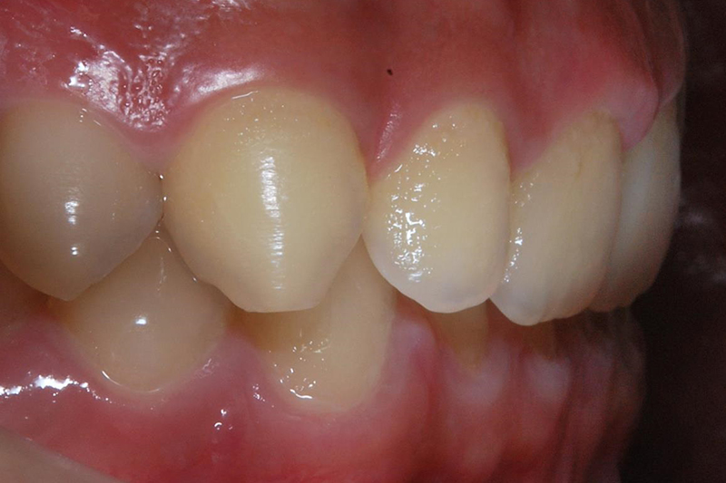
深咬矯正

矯正後

深咬矯正

矯正前

深咬矯正

矯正後

深咬矯正

矯正前

深咬矯正

矯正後

免責聲明: 本所療程皆由專業醫生評估後,依照個人口腔狀況進行治療。因每位患者個別狀況不同,術後狀況也不盡相同,需親來本所由醫生評估。
關閉