病患:

林小姐

主訴

吃麵時無法把麵線切段,外觀也不漂亮。

診斷

開咬。

治療計劃 :

下顎拔兩顆牙,把牙齒排整齊。

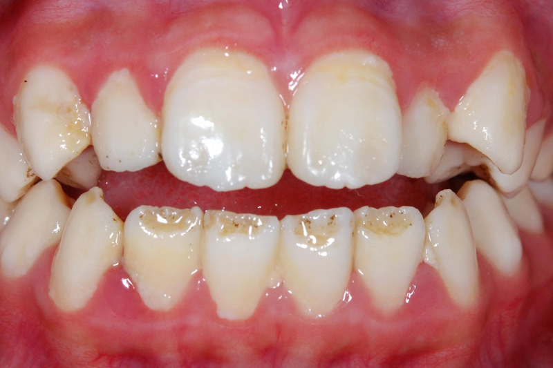
開咬

矯正前

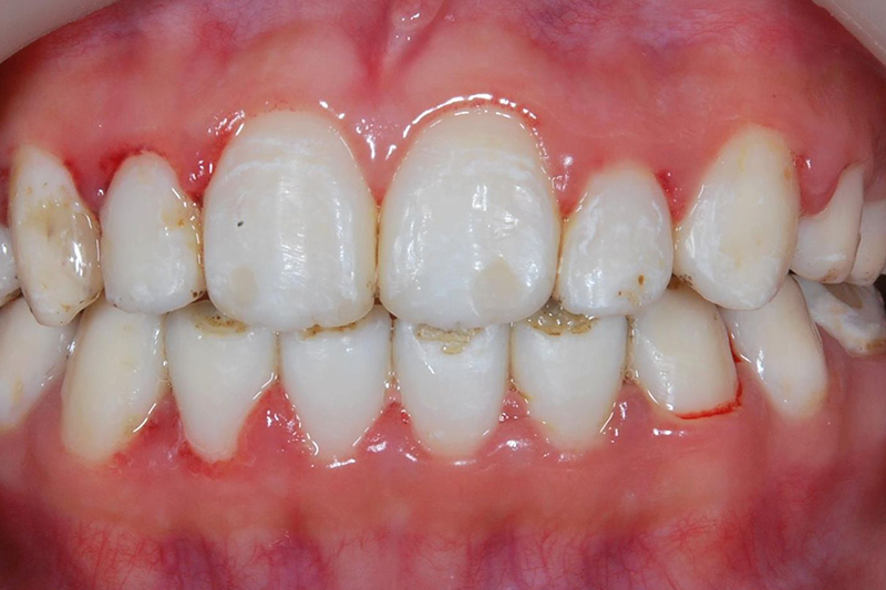
開咬

矯正後

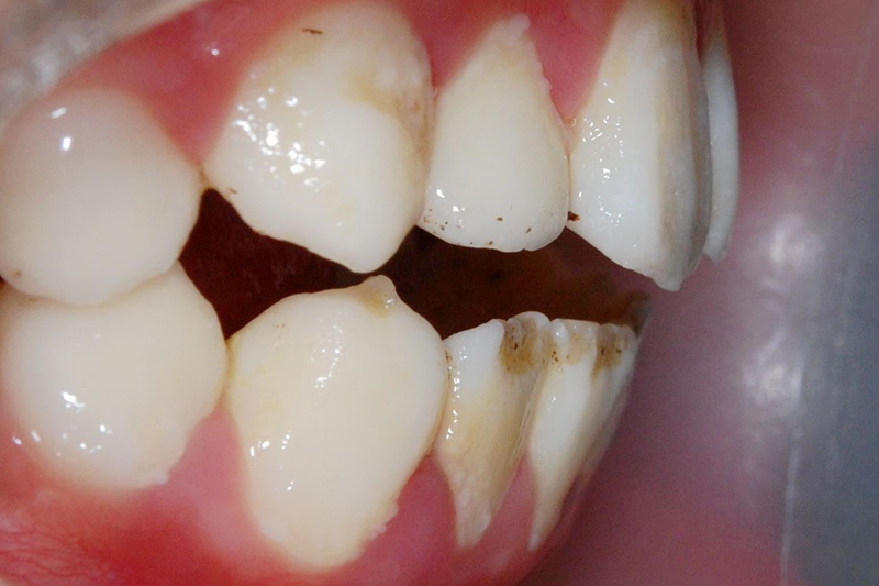
開咬

矯正前

開咬

矯正後

開咬

矯正前

開咬

矯正後

免責聲明: 本所療程皆由專業醫生評估後,依照個人口腔狀況進行治療。因每位患者個別狀況不同,術後狀況也不盡相同,需親來本所由醫生評估。
關閉