病患:

陳小姐

主訴

說話會漏風。

診斷

開咬。

治療計劃

上顎拔兩顆牙矯正,利用拔牙空間把牙齒排列整齊。

開咬矯正

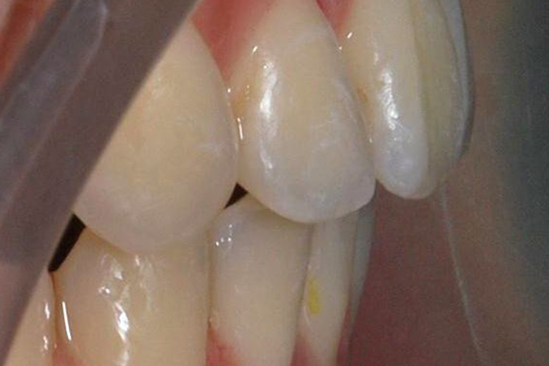
矯正前

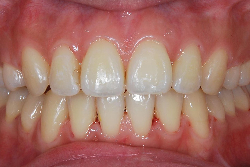
開咬矯正

矯正後

開咬矯正

矯正前

開咬矯正

矯正後

開咬矯正

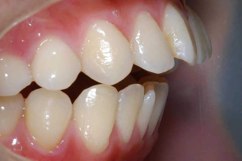
矯正前

開咬矯正

矯正後

免責聲明: 本所療程皆由專業醫生評估後,依照個人口腔狀況進行治療。因每位患者個別狀況不同,術後狀況也不盡相同,需親來本所由醫生評估。
關閉