病患:

王小姐

主訴

暴牙側面看起來不好看。

診斷

暴牙合併深咬。

治療計劃 :

上排拔兩顆牙,把牙齒往後排整齊,嘴唇和臉型獲得很大改善。

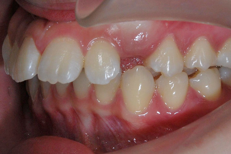
暴牙

矯正前

暴牙

矯正後

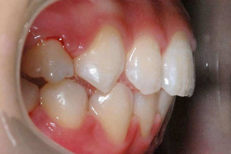
暴牙

矯正前

暴牙

矯正後

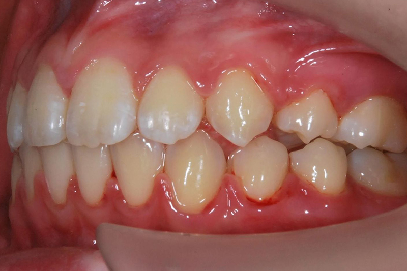
暴牙

矯正前

暴牙

矯正後

免責聲明: 本所療程皆由專業醫生評估後,依照個人口腔狀況進行治療。因每位患者個別狀況不同,術後狀況也不盡相同,需親來本所由醫生評估。
關閉