病患:

吳小妹妹

主訴

牙齒凸出,不整齊。

診斷

暴牙。

治療計劃 :

上顎拔兩顆牙往後排整齊,一年半成氣質正妹。

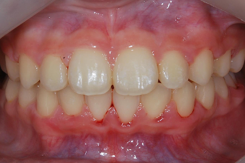
暴牙

矯正前

暴牙

矯正後

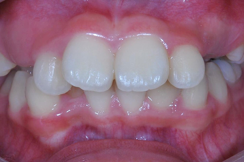
暴牙

矯正前

暴牙

矯正後

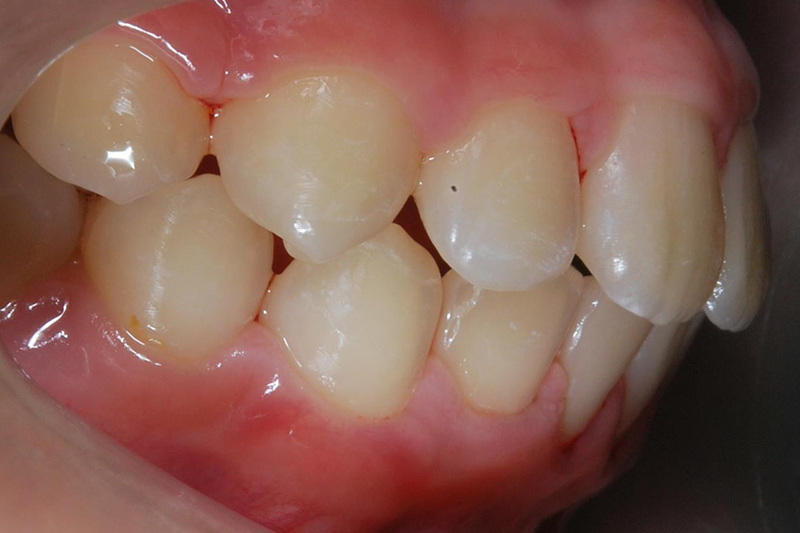
暴牙

矯正前

暴牙

矯正後

免責聲明: 本所療程皆由專業醫生評估後,依照個人口腔狀況進行治療。因每位患者個別狀況不同,術後狀況也不盡相同,需親來本所由醫生評估。
關閉