病患:

徐小姐

主訴

門牙凸出,門牙有牙縫笑起來不好看。

診斷

暴牙。

治療計劃

上顎拔2顆牙,利用拔牙空間把牙齒往後排整齊,暴牙改善,鼻子也變挺了。

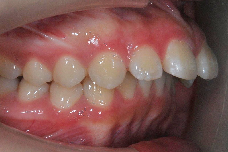
暴牙矯正

矯正前

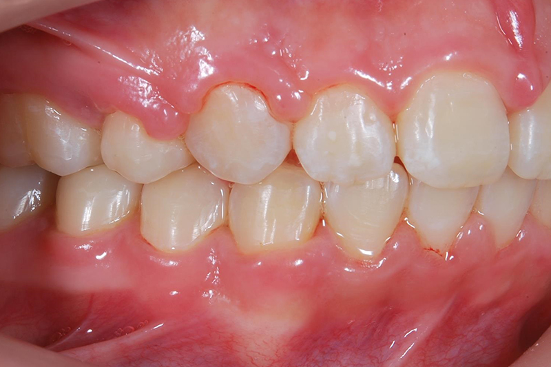
暴牙矯正

矯正後

暴牙矯正

矯正前

暴牙矯正

矯正後

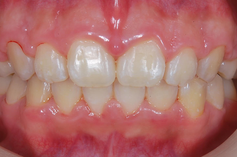
暴牙矯正

矯正前

暴牙矯正

矯正後

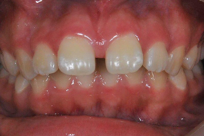
暴牙矯正

矯正前

暴牙矯正

矯正後

免責聲明: 本所療程皆由專業醫生評估後,依照個人口腔狀況進行治療。因每位患者個別狀況不同,術後狀況也不盡相同,需親來本所由醫生評估。
關閉