病患:

陳小弟弟

主訴

門牙凸出,嘴唇凸起。

診斷

暴牙。

治療計劃

上下顎各拔2顆牙,利用拔牙空間把牙齒往後排整齊。

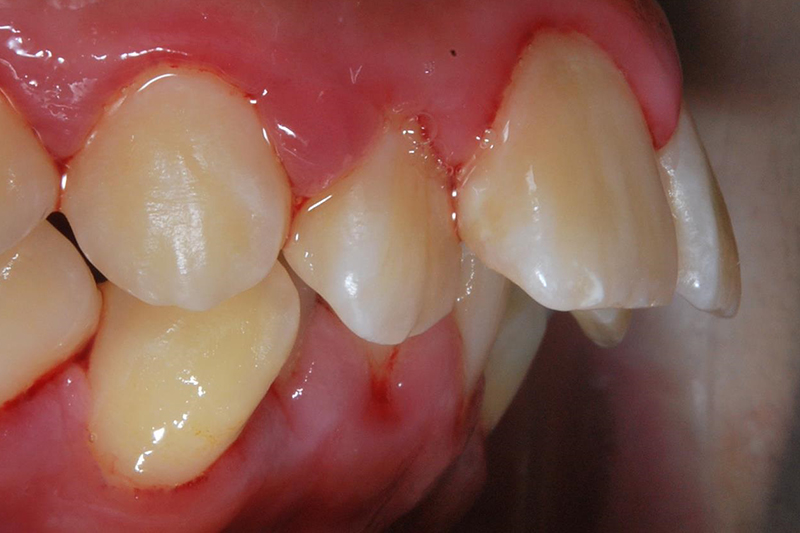
暴牙治療

矯正前

暴牙治療

矯正後

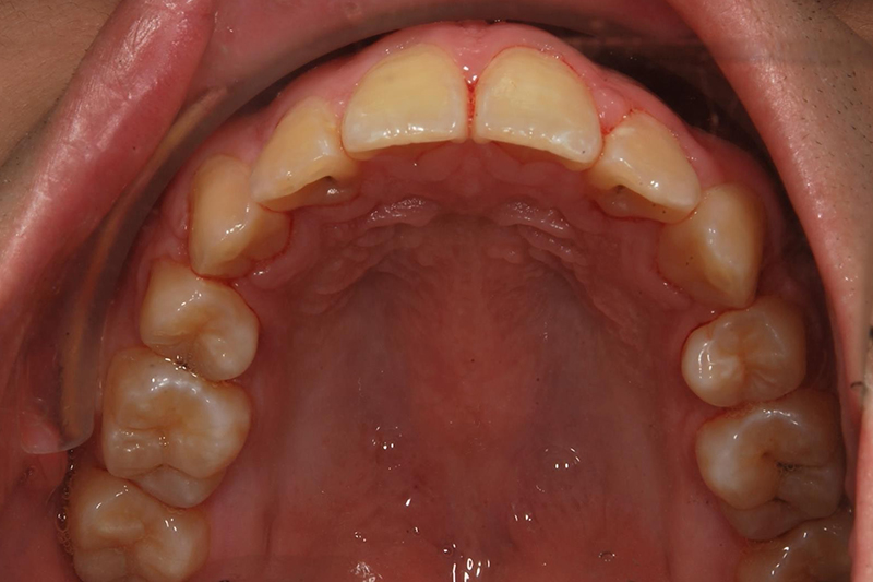
暴牙治療

矯正前

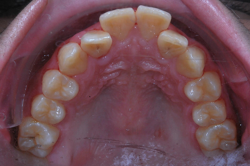
暴牙治療

矯正後

暴牙治療

矯正前

暴牙治療

矯正後

免責聲明: 本所療程皆由專業醫生評估後,依照個人口腔狀況進行治療。因每位患者個別狀況不同,術後狀況也不盡相同,需親來本所由醫生評估。
關閉