病患:

王小弟弟

主訴

上排牙齒右邊側門牙長歪/p>

診斷

齒列不正,右側門牙及虎牙阻生

治療計劃

不需拔牙,僅作上排局部矯正及完成

局部矯正

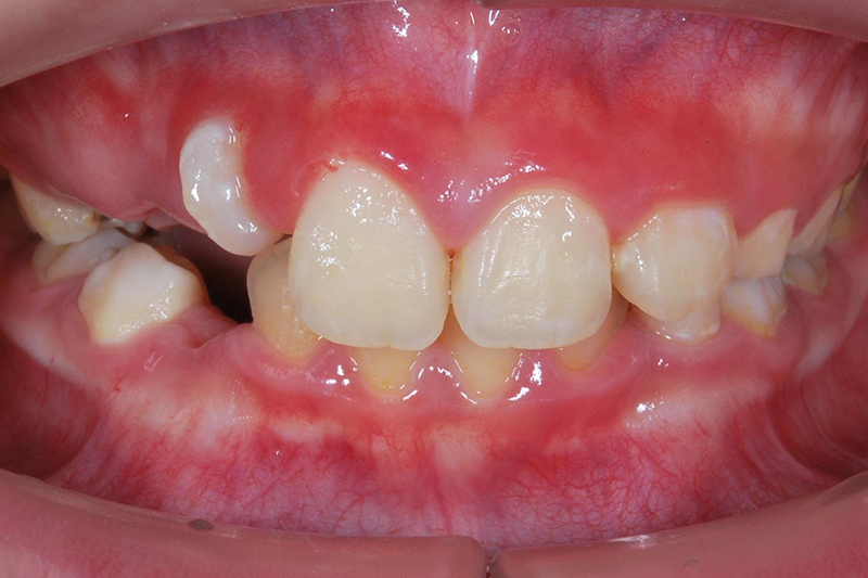
矯正前

局部矯正

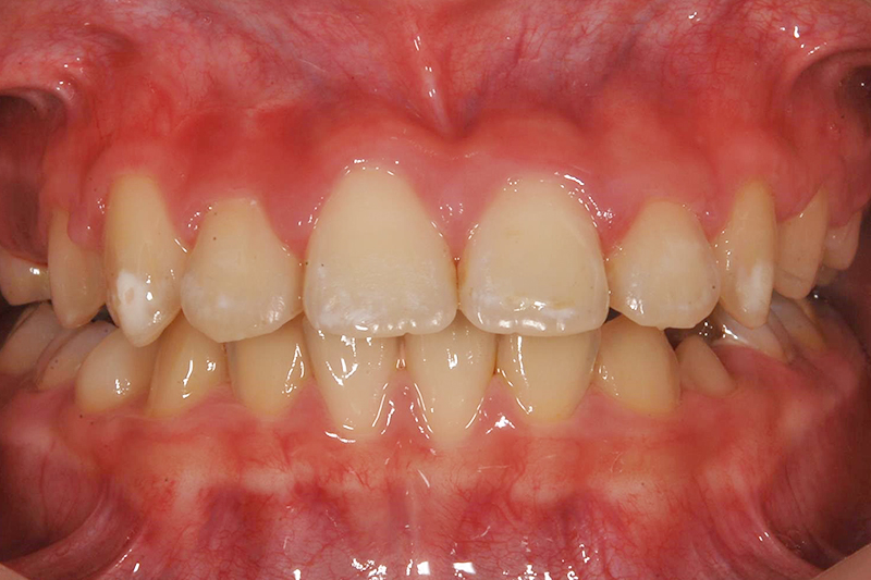
矯正後

局部矯正

矯正前

局部矯正

矯正後

局部矯正

矯正前

局部矯正

矯正後

免責聲明: 本所療程皆由專業醫生評估後,依照個人口腔狀況進行治療。因每位患者個別狀況不同,術後狀況也不盡相同,需親來本所由醫生評估。
關閉