病患:

黃小妹妹

主訴

上排牙齒不整齊

診斷

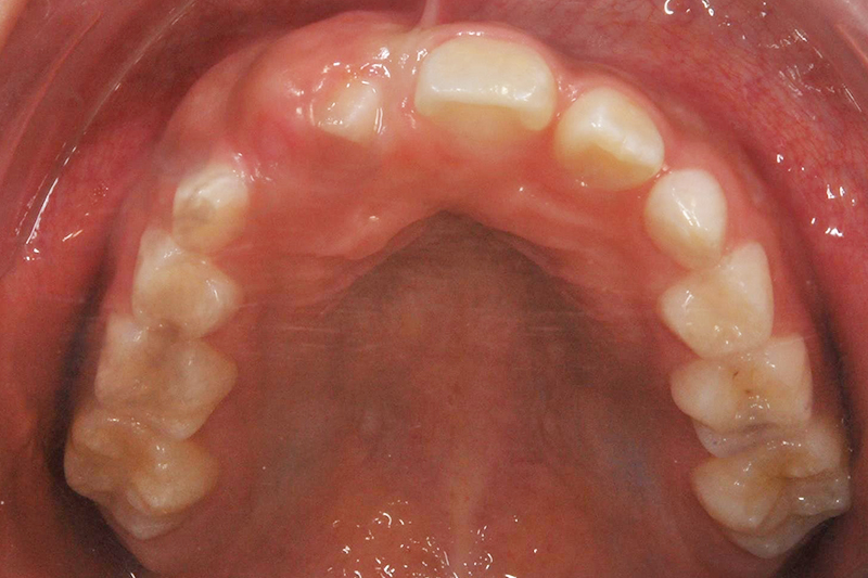
齒列不正,右門牙及側門牙阻生

治療計劃

不需拔牙,僅作上排局部矯正

局部矯正

矯正前

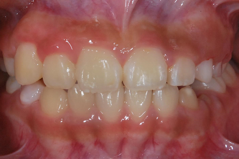
局部矯正

矯正後

局部矯正

矯正後

局部矯正

矯正後

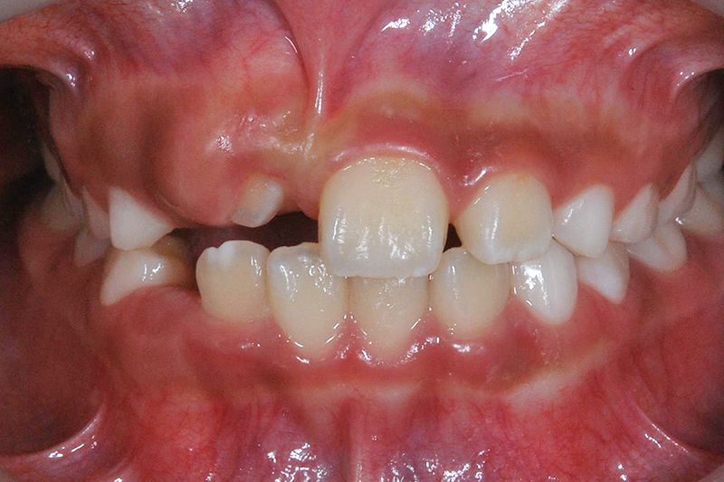
局部矯正

矯正前

局部矯正

矯正後

免責聲明: 本所療程皆由專業醫生評估後,依照個人口腔狀況進行治療。因每位患者個別狀況不同,術後狀況也不盡相同,需親來本所由醫生評估。
關閉