病患:

王先生

主訴

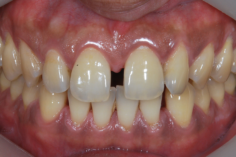
門牙有縫隙笑起來不好看,說話也有一點漏風

診斷

齒列不正,齒縫間有空隙

治療計劃

不拔牙矯正,往內關閉空間

齒列不整

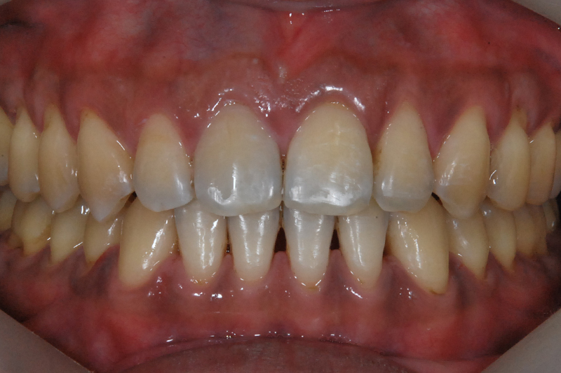
矯正前

齒列不整

矯正後

齒列不整

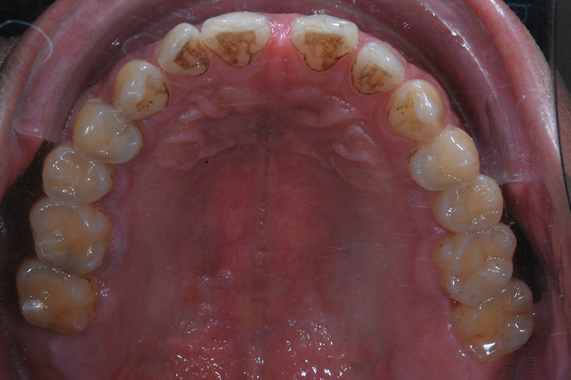
矯正前

齒列不整

矯正後

齒列不整

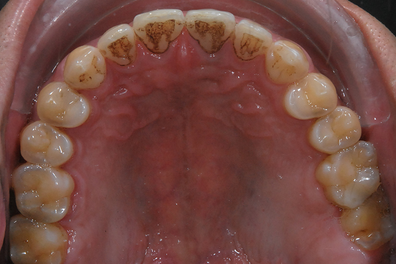
矯正前

齒列不整

矯正後

免責聲明: 本所療程皆由專業醫生評估後,依照個人口腔狀況進行治療。因每位患者個別狀況不同,術後狀況也不盡相同,需親來本所由醫生評估。
關閉