病患:

王小姐

主訴

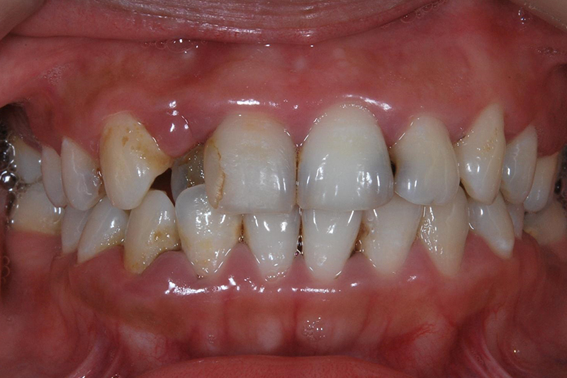
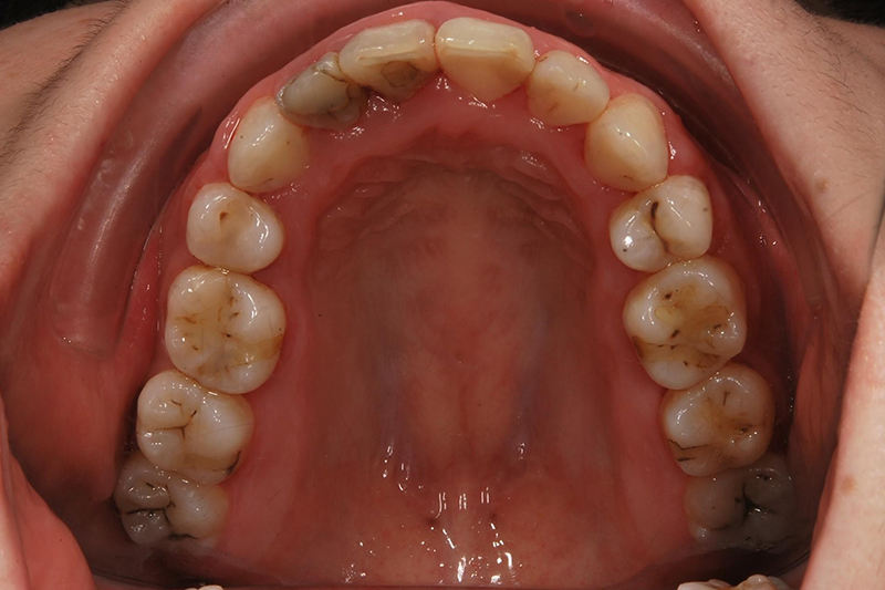
牙齒排列不整齊,很多顆蛀牙

診斷

右上側門牙錯咬,齒列不正/p>

治療計劃 :

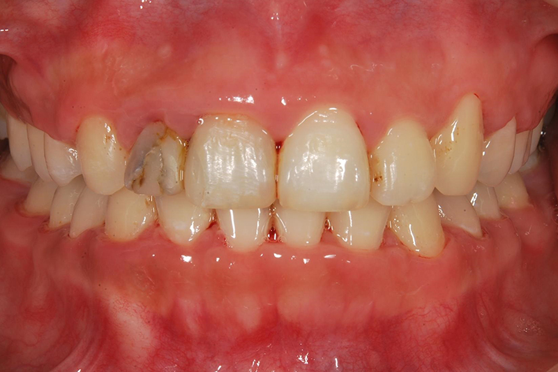
上顎拔2顆牙排齊,矯正後建議變色的側門牙作假牙套,蛻變成大美人了

齒列不整

矯正前

齒列不整

矯正後

齒列不整

矯正前

齒列不整

矯正後

齒列不整

矯正前

齒列不整

矯正後

免責聲明: 本所療程皆由專業醫生評估後,依照個人口腔狀況進行治療。因每位患者個別狀況不同,術後狀況也不盡相同,需親來本所由醫生評估。
關閉