病患:

王小妹妹姐

主诉:

牙齿排列不整齐,右边虎牙凸出

诊断

齿列不正,右侧门牙错咬

治療計畫:

上颚拔两颗牙,即矫正完成

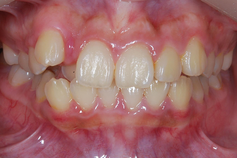
齒列不整

矫正前

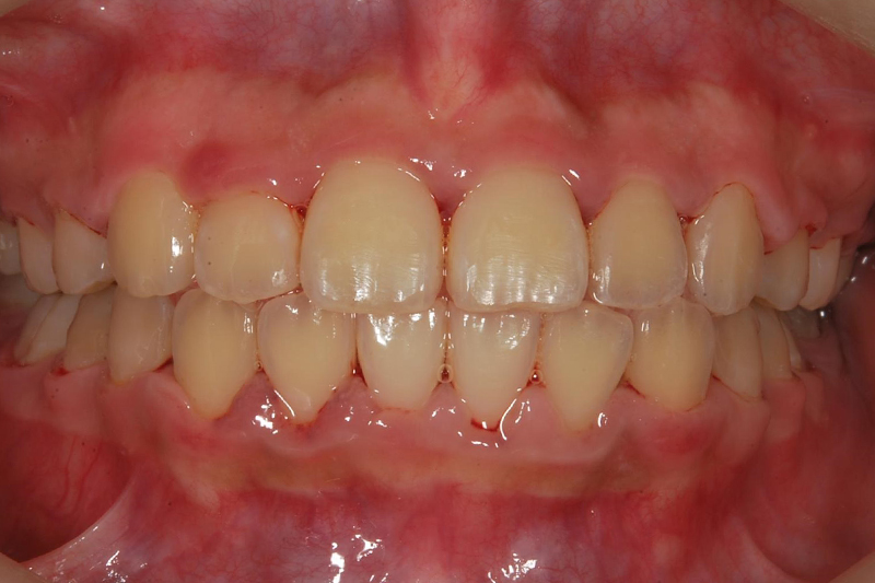
齒列不整

矫正后

齒列不整

矫正前

齒列不整

矫正后

齒列不整

矫正前

齒列不整

矫正后

免責聲明: 本所療程皆由專業醫生評估後,依照個人口腔狀況進行治療。因每位患者個別狀況不同,術後狀況也不盡相同,需親來本所由醫生評估。
關閉