病患:

范小姐

主訴

覺得虎牙暴暴的不好看

診斷

覺得虎牙暴暴的不好看

治療計劃

上顎拔兩顆牙,牙齒往後排整齊

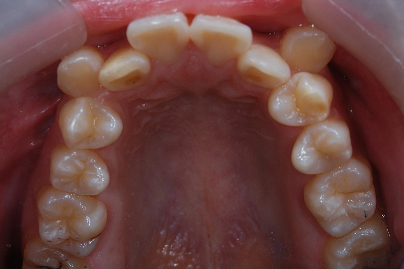
齒列不整

矯正前

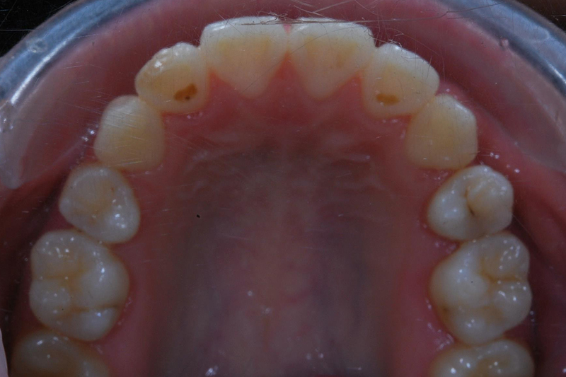
齒列不整

矯正後

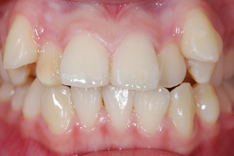
齒列不整

矯正前

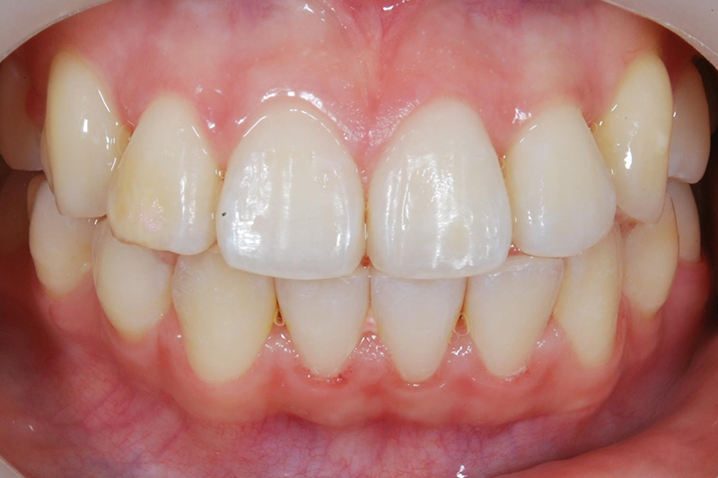
齒列不整

矯正後

齒列不整

矯正前

齒列不整

矯正後

免責聲明: 本所療程皆由專業醫生評估後,依照個人口腔狀況進行治療。因每位患者個別狀況不同,術後狀況也不盡相同,需親來本所由醫生評估。
關閉