病患:

莊小姐

主訴

牙齒排列不整齊

診斷

齒列不正,下臼齒阻生後牙錯咬,及左右歪斜

治療計劃

拔除4顆小臼齒,使用LH無痛矯正方法

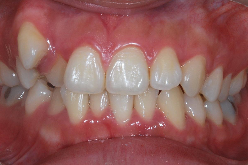
齒列不整矯正

矯正前

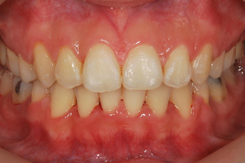
齒列不整矯正

矯正後

齒列不整矯正

矯正前

齒列不整矯正

矯正後

齒列不整矯正

矯正前

齒列不整矯正

矯正後

免責聲明: 本所療程皆由專業醫生評估後,依照個人口腔狀況進行治療。因每位患者個別狀況不同,術後狀況也不盡相同,需親來本所由醫生評估。
關閉