病患:

陳小姐

主訴:

牙齒不整齊,很難清潔

診斷:

齒列不正,且有許多殘根壞牙

治療計劃:

上下只拔3顆壞牙,矯正完成

齒列不整矯正

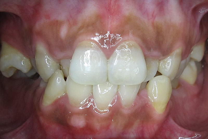
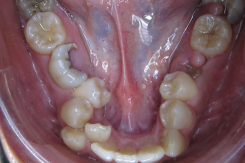
矯正前

齒列不整矯正

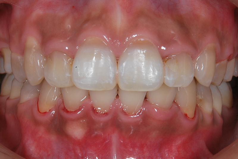
矯正後

齒列不整矯正

矯正前

齒列不整矯正

矯正後

齒列不整矯正

矯正前

齒列不整矯正

矯正後

齒列不整矯正

矯正前

齒列不整矯正

矯正後

免責聲明: 本所療程皆由專業醫生評估後,依照個人口腔狀況進行治療。因每位患者個別狀況不同,術後狀況也不盡相同,需親來本所由醫生評估。
關閉