病患 :

彭小姐

主訴 :

牙齒不整齊笑起來不好看/p>

診斷 :

齒列不正

治療計劃 :

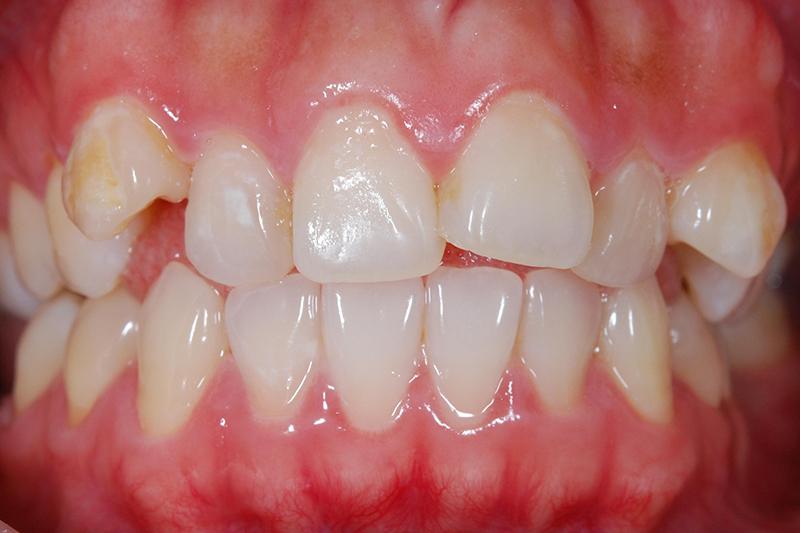
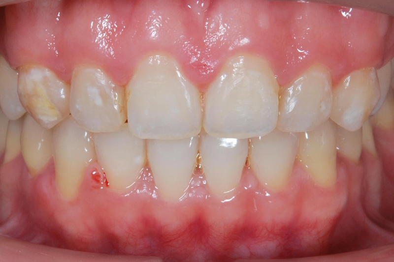
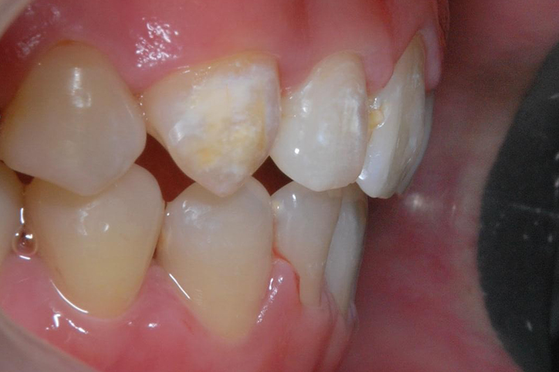
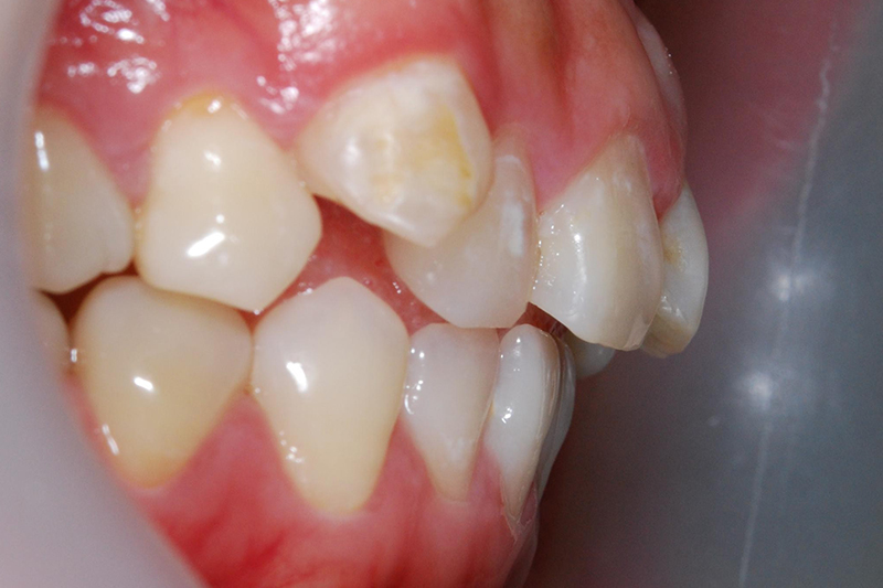
不拔牙矯正,上顎上2顆骨釘把牙齒往後拉排整齊

proimages/share/share005/5-6/20091230183005.jpg

矯正前

proimages/share/share005/5-6/20121226142637.jpg

矯正後

proimages/share/share005/5-6/20091230182930.jpg

矯正前

proimages/share/share005/5-6/20121226142622.jpg

矯正後

proimages/share/share005/5-6/20091230182935.jpg

矯正前

proimages/share/share005/5-6/20121226142628.jpg

矯正後

免責聲明: 本所療程皆由專業醫生評估後,依照個人口腔狀況進行治療。因每位患者個別狀況不同,術後狀況也不盡相同,需親來本所由醫生評估。
關閉