病患 :

林同學

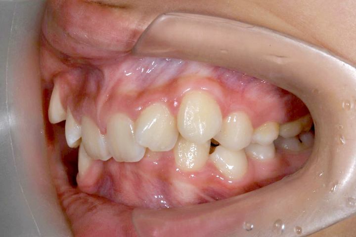
主訴 :

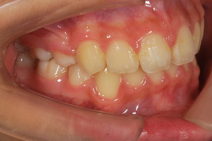
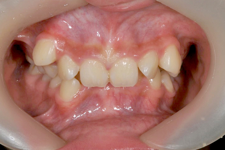
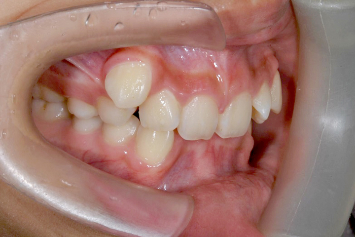
齒列不正,兩邊虎牙突出

治療計劃 :

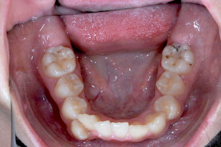
上下各拔除2顆小臼齒,裝置矯正器排列整齊

齒列不整-案例八

矯正前

齒列不整-案例八

矯正後

齒列不整-案例八

矯正前

齒列不整-案例八

矯正後

齒列不整-案例八

矯正前

齒列不整-案例八

矯正後

齒列不整-案例八

矯正前

齒列不整-案例八

矯正後

齒列不整-案例八

矯正前

齒列不整-案例八

矯正後

免責聲明: 本所療程皆由專業醫生評估後,依照個人口腔狀況進行治療。因每位患者個別狀況不同,術後狀況也不盡相同,需親來本所由醫生評估。
關閉