植牙矯正諮詢
0800-588667
預約門診專線
03-426-0276
/
03-426-0275
關於微美
關於微美
專業設備
診所環境
診療項目
口腔外科
根管治療
舒眠治療
全口重建
美白貼片
人工植牙
隱形矯正
齒顎矯正
兒童牙科
牙周病治療
醫療團隊
廖哲瑜 院長
劉家語 副院長
陳鐘漢 醫師
戴志翰 醫師
張光萱 醫師
謝銘杰 醫師
宋耀東 醫師
劉欣宜 醫師
蔣文政 醫師
陳姿璉 醫師
陳瑋旻 醫師
劉雅玫 醫師
案例分享
顯微根管治療
顯微根管案例分享
人工植牙案例
3D電腦斷層微創植牙
雷射微創植牙
立即微創植牙
全口植牙重建
前牙美學植牙
傳統補骨植牙
上頷竇微創增高手術
嚴重骨脊萎縮增寬手術
角質化牙齦增生手術
銀髮族植牙
舒眠植牙 治療說明
挽救失敗植牙
美容牙科案例
牙齒美白
齒雕瓷塊
全瓷貼片
全瓷假牙
矯正美學案例
戽斗
深咬
開咬
暴牙
局部矯正
齒列不整
雷射治療案例
舒眠兒童牙科案例
隱形矯正
門診時間
最新消息
醫師文章
關於微美
+
–
關於微美
專業設備
診所環境
診療項目
+
–
口腔外科
根管治療
舒眠治療
全口重建
美白貼片
人工植牙
隱形矯正
齒顎矯正
兒童牙科
牙周病治療
醫療團隊
+
–
廖哲瑜 院長
劉家語 副院長
陳鐘漢 醫師
戴志翰 醫師
張光萱 醫師
謝銘杰 醫師
宋耀東 醫師
劉欣宜 醫師
蔣文政 醫師
陳姿璉 醫師
陳瑋旻 醫師
劉雅玫 醫師
案例分享
+
–
顯微根管治療
+
–
顯微根管案例分享
人工植牙案例
+
–
3D電腦斷層微創植牙
雷射微創植牙
立即微創植牙
全口植牙重建
前牙美學植牙
傳統補骨植牙
上頷竇微創增高手術
嚴重骨脊萎縮增寬手術
角質化牙齦增生手術
銀髮族植牙
舒眠植牙 治療說明
挽救失敗植牙
美容牙科案例
+
–
牙齒美白
齒雕瓷塊
全瓷貼片
全瓷假牙
矯正美學案例
+
–
戽斗
深咬
開咬
暴牙
局部矯正
齒列不整
雷射治療案例
舒眠兒童牙科案例
隱形矯正
門診時間
最新消息
醫師文章
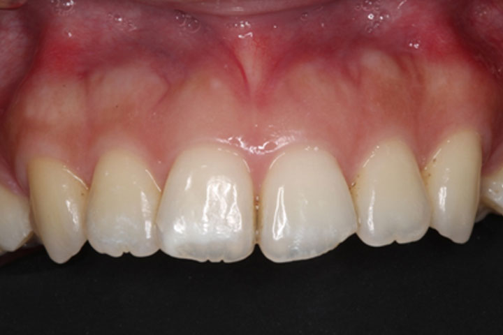
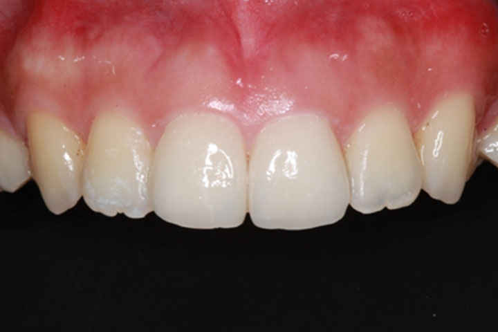
全瓷貼片-前牙美學貼片
首頁
/
案例分享
/
美容牙科案例
/
全瓷貼片
/
全瓷貼片-前牙美學貼片
術前拍照
術後拍照
免責聲明: 本所療程皆由專業醫生評估後,依照個人口腔狀況進行治療。因每位患者個別狀況不同,術後狀況也不盡相同,需親來本所由醫生評估。
分享到
關閉
×