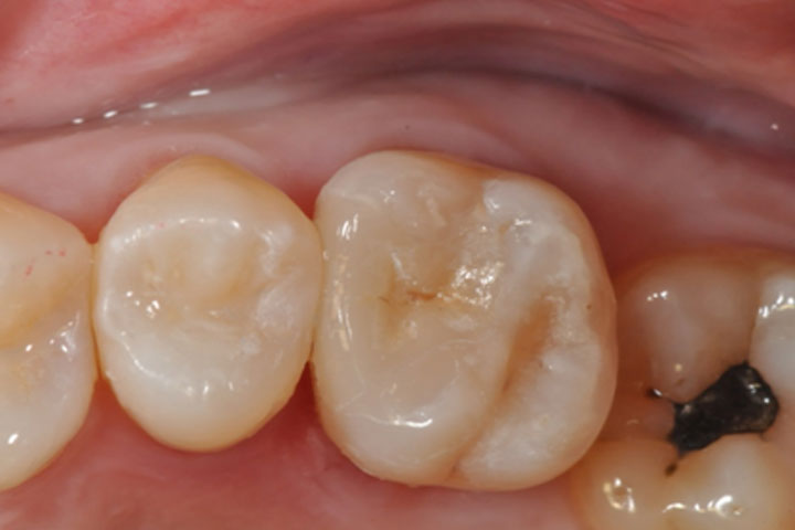
治療前- 後牙鄰接面蛀牙清乾淨,蛀牙範圍廣及深治療後- 用印模方式做出一顆瓷塊襄於蛀牙窩洞位置 免責聲明: 本所療程皆由專業醫生評估後,依照個人口腔狀況進行治療。因每位患者個別狀況不同,術後狀況也不盡相同,需親來本所由醫生評估。 分享到