- 植牙矯正諮詢 0800-588667
- 預約門診專線 03-426-0276 / 03-426-0275
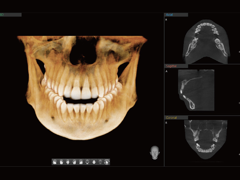
✨ 診所再升級!全口 AI 3D 彩色影像正式上線 ✨
你能想像未來有一天我們只需要拍攝一張影像,
感謝黃仁勳以及AI人工智慧的快速發展,我們診所做到了,
關心牙齒健康的您們,不要猶豫,趕快預約微美牙醫診所看診,讓我們專業的醫療團隊及高科技的牙科影像,幫您們的牙齒成功把關喔!
📌 升級亮點一次看:
▪️ 全口攝影 + 電腦斷層已是基本配備,我們再領先升級!
▪️ AI 重新建構 軟組織輪廓、牙齒與神經走向,影像更立體、更清楚
▪️ 新增 小範圍高解析根管 CT,細小病灶不放過
▪️ 彩色影像可區分不同結構,牙齒病變一目了然
▪️ 醫師能做出更精準判斷,提供 更完善、客製化的治療計畫 ✔️
我們會持續導入更好的設備,給你更安全、更全面的口腔照護🦷✨
🦷微美牙醫診所關心您的口腔健康